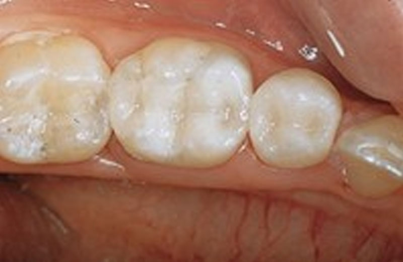
White Fillings

Tooth-coloured fillings are designed to restore strength and function while blending naturally with your teeth. They provide a durable, aesthetic alternative to traditional metal fillings.

Dr Daniel and the team at The Smile Zone only use white fillings

White fillings are fillings for teeth that look  natural and discreet.

Given the opportunity to make a fully informed choice, our experience is that the vast majority of today’s dental patients will choose tooth coloured fillings.

Since they bond to the tooth, tooth-coloured fillings restore more of the original strength of the tooth. Silver weakens the teeth, making them more susceptible of breaking.

Tooth coloured fillings restore the natural appearance of the tooth and are mercury free as mercury is viewed by some as being toxic.

Tooth coloured fillings require less removal of tooth structure, especially with new cavities, as the size of the hole made for the filling can be dramatically smaller with tooth coloured fillings.  For these reasons at The Smile Zone, we ONLY place white fillings.

Before After

FAQs

What are the benefits of white fillings?

White fillings offer several advantages:

  • They match the natural colour of your teeth
  • They bond to the tooth to help restore strength
  • They require less drilling and removal of healthy tooth structure
  • They are mercury free
Are white fillings better than silver fillings?

Many patients prefer white fillings because they are more natural-looking and support the tooth structure. Silver fillings can weaken teeth over time, making them more prone to cracking or breaking.

Are white fillings safe?

Yes. White fillings are mercury free, which is important for patients who prefer to avoid materials containing mercury.

Do white fillings require less drilling?

Yes. White fillings often require less removal of healthy tooth structure, particularly when treating new cavities. This allows the dentist to preserve more of the natural tooth.

Call us today for appointments & consultations

Reach out now and take the first step toward a healthier smile.

Treatments

See below for more details about our range of treatments.

Tooth Whitening

A whiter, brighter smile can enhance your appearance and boost your confidence. Professional tooth whitening is a safe and effective way to remove stains and restore the natural brightness of your teeth.

White Fillings

Tooth-coloured fillings are designed to restore strength and function while blending naturally with your teeth. They provide a durable, aesthetic alternative to traditional metal fillings.

Porcelain Veneers

Porcelain veneers are thin, custom-made shells bonded to the front of your teeth. They can enhance shape, colour and symmetry to create a beautifully natural-looking smile.

Orthodontics & Orthopaedics

Modern orthodontic treatment can gently guide teeth and jaw development to improve alignment, function and appearance. The result is a straighter smile and greater long-term oral health.

Implants

Dental implants are a reliable and long-lasting solution for replacing missing teeth. They restore function and appearance while helping to preserve bone and protect surrounding teeth.

Crowns & Bridges

Crowns and bridges are used to restore damaged or missing teeth. They strengthen your bite, protect weakened teeth and blend seamlessly with your natural smile.