Gallery

Dr Kayongo is a photographic artist, and uses photography as part of the process to design new smiles.

Have a look at our gallery below to see some beautiful smiles.

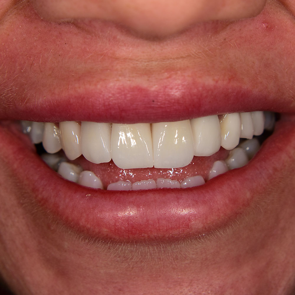
Before & After treatments

Move the slider on the images below to compare before and after results.

Before After
Before After
Before After
Before After