Tooth Whitening

A whiter, brighter smile can enhance your appearance and boost your confidence. Professional tooth whitening is a safe and effective way to remove stains and restore the natural brightness of your teeth.

A whiter, brighter smile is beautiful – it can help you feel better about yourself and make a memorable impression.

Your lifestyle and the ageing process can stain and darken your teeth. Many things we do on a regular basis can contribute to stained teeth, such as drinking coffee, tea, cola and red wine or smoking.

Whitening can get your smile looking its best. You should look for a whitening procedure that is:- Fast and convenient, long lasting, low sensitivity, proven to be safe and effective and lastly, performed by a Dental Professional.

General Dental Care

At the Smile Zone we take time during the twice yearly exmaination to share cleaning advice and tips, along with any general maintenace treatments, such as scale and polishing or deep gum cleaning. Daniel can identify most issues before they can become a problem. Seeing patients regularly gives the opportunity to ensure great oral health care. It is stated that there is a link between oral health and other health conditions.

We offer, general examinations, digital scanning, radiographs for diagnosis of any jaw issues, teeth and gum cleaning and much more. This includes introducing young children and those absent from dental care, back into good dental service.

We will produce a individual treatment plan for your information. This will include all the costs.

At Home Whitening

There are several different ways that we can whiten your teeth. These are separated into external technique (where gel is placed on the outside of the tooth) and internal technique (where gel is placed inside the tooth).

External whitening – This means that the colour of the teeth is lightened by placing a gel on the outer surfaces of the teeth. Using whitening gels in this way may not work for certain types of discolouration, such as that caused by metal fillings or damaged blood vessels inside a tooth. There are three ways to whiten teeth.

“Home” whitening – this is similar to the over-the-counter kits, but with two main differences. Firstly, we make a custom trays so that they fit your teeth precisely, and secondly, the whitening gel is stronger so it tends to be more effective. We will give you tubes of safe whitening gel and instructions on how to use the trays. You will need to wear the trays for at least a few hours each day. It may take a few weeks to achieve the colour that you want.

In the dental surgery – “power” or “laser” whitening. Your dentist may put a rubber seal around your teeth to protect your gums. Then gel is placed onto your teeth and a special, bright light is used. This light enhances the whitening process. The appointment may take approximately one hour.

Combined whitening – this may also be known as “power” whitening – both the home and surgery whitening are used in combination to obtain the desired result quickly. The home whitening stage may occur before or after surgery treatment – this depends on the type of product used.

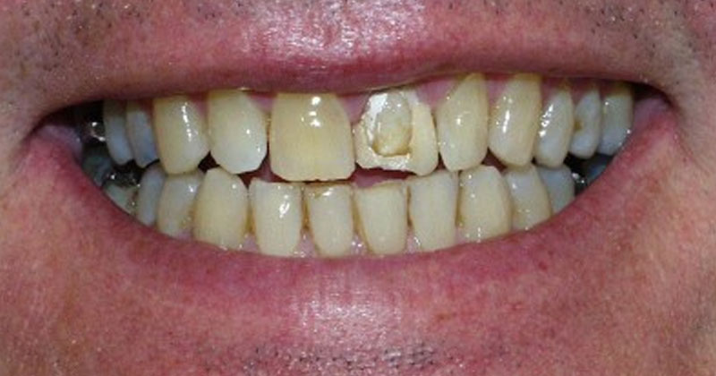
Before After

FAQs

What causes teeth to become stained or darker?

Teeth can become stained over time due to both lifestyle habits and the natural ageing process. Common causes include drinking coffee, tea, cola or red wine, as well as smoking. These can gradually darken the colour of your teeth.

What is teeth whitening?

Teeth whitening is a cosmetic dental treatment that lightens the colour of your teeth and helps remove stains and discolouration, giving you a brighter, more confident smile.

Is teeth whitening safe?

Yes. When performed or supervised by a dental professional, teeth whitening is a safe and effective way to brighten your smile. Your dentist will recommend the most suitable option for you.

What are the different types of teeth whitening?

There are two main types of whitening treatments:

  • External whitening – a whitening gel is applied to the outside of the teeth to lighten their colour.
  • Internal whitening – a whitening gel is placed inside a tooth, usually used when a tooth has discoloured due to internal damage.

We’ll advise which option is best for your situation.

What is home teeth whitening?

Home whitening involves using custom-made trays that fit your teeth precisely. You place whitening gel in the trays and wear them for a few hours each day. Results usually appear gradually over a few weeks.

How long do whitening results last?

Results can be long-lasting, but this depends on your lifestyle habits. Limiting foods and drinks that stain teeth and maintaining good oral hygiene can help keep your smile brighter for longer.

Call us today for appointments & consultations

Reach out now and take the first step toward a healthier smile.

Treatments

See below for more details about our range of treatments.

Tooth Whitening

A whiter, brighter smile can enhance your appearance and boost your confidence. Professional tooth whitening is a safe and effective way to remove stains and restore the natural brightness of your teeth.

White Fillings

Tooth-coloured fillings are designed to restore strength and function while blending naturally with your teeth. They provide a durable, aesthetic alternative to traditional metal fillings.

Porcelain Veneers

Porcelain veneers are thin, custom-made shells bonded to the front of your teeth. They can enhance shape, colour and symmetry to create a beautifully natural-looking smile.

Orthodontics & Orthopaedics

Modern orthodontic treatment can gently guide teeth and jaw development to improve alignment, function and appearance. The result is a straighter smile and greater long-term oral health.

Implants

Dental implants are a reliable and long-lasting solution for replacing missing teeth. They restore function and appearance while helping to preserve bone and protect surrounding teeth.

Crowns & Bridges

Crowns and bridges are used to restore damaged or missing teeth. They strengthen your bite, protect weakened teeth and blend seamlessly with your natural smile.