Implants

Dental implants are a reliable and long-lasting solution for replacing missing teeth. They restore function and appearance while helping to preserve bone and protect surrounding teeth.

People lose teeth all the time, either through trauma when teeth are knocked out or due to decay, gum disease or old age. Whatever the reason for loosing your teeth they need to be replaced both for aesthetic and functional reasons. Dental implants are now becoming the preferred option to replace missing teeth as they provide a longer- term solution, slow down bone loss and preserve nearby healthy tooth tissue. Dental implants are also commonly used to securely fix a denture in place, avoiding embarrassing denture slippage or denture fixatives.

What are implants?

Dental implants are screw-shaped or cylindrical root-form titanium posts that act as artificial tooth roots. These are carefully placed in the jawbone and allowed to heal. During the healing phase, your bone is growing right up to the implant surface, in order to lock it in place.

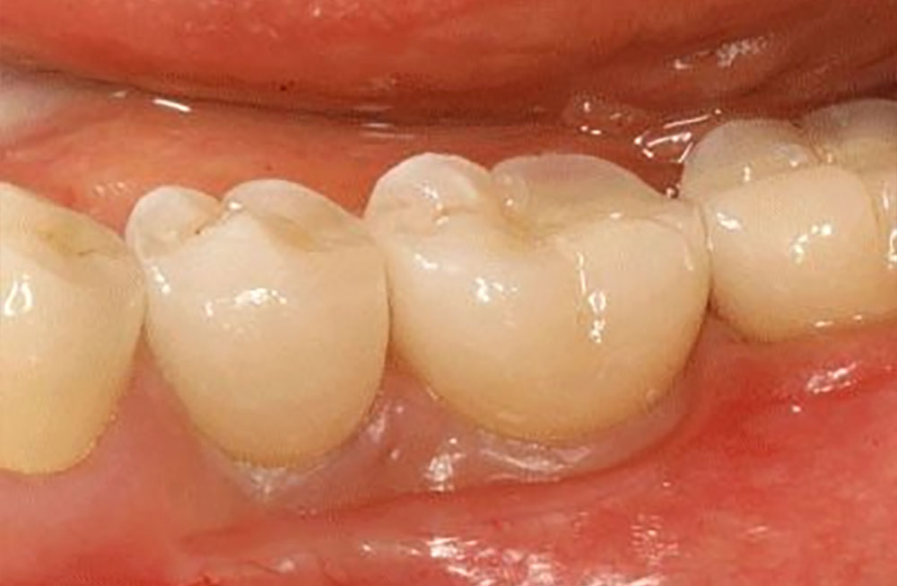
A while after healing, a crown is made to fit on top of the implant, to replace a missing tooth or teeth. In many cases, you can be functioning on your “new” tooth on the same day as your surgery! Gently of course.

Dental implant treatment is the preferred method of tooth replacement. These implants replace missing tooth roots, and form a stable foundation for replacement teeth that look, feel and function like your natural teeth. Dental implants also preserve the remaining bone by providing the stimulation previously provided by the natural tooth roots.

Dental implants offer several advantages to the patient. Unlike traditional false teeth, it isn’t necessary to grind down the adjacent teeth for a bridge or secure a partial denture to adjacent teeth with clasps.

In addition to supporting crowns and bridges, implants can also be used to secure poorly fitting dentures. By using dental implants we can eliminate the problems associated with traditional dentures. These include looseness, sore spots, trapped food and embarrassing denture slippage. In addition the biting force is increased in a more natural bite.

Immediate Loading Implants
In many cases we are able to place a dental implant on the day of the extraction of your tooth and fabricate an immediate temporary restoration so that you do not have to wear a removable restoration during the healing period of three to four months. We can use the existing crown or make a matrix in order to fabricate a composite restoration which we place on a temporary post. After the implant integrates (heals) the temporary restoration is removed and an impression is made for the permanent restoration. By supporting the gums during healing, the aesthetics of the final restoration is enhanced.

Other temporary solutions are also available.

What are the benefits of dental implants?

They look and feel just like your own teeth. Dental implants restore your confidence to talk, laugh, and chew with comfort and without worries.

Implants preserve the integrity of facial structures. Implants prevent the hard and soft tissue collapse that can occur under conventional bridges and removable partial dentures. In patients who have lost all of their teeth, the lower one-third of the face is prone to collapse if implants are not placed to preserve the bone and the facial profile. Implants form a strong bond to the surrounding bone to provide support and anchorage for biting and chewing as well as stimulation for the bone to hold it in place.

Implant-supported crowns and bridges do not require neighbouring teeth for support. When teeth are replaced using traditional tooth-supported bridges, the teeth on either side of the missing tooth are ground down so that the bridge can be cemented onto them. This tooth structure can never be replaced. Removable partial dentures use clasps and rests which have to be carved onto adjacent teeth. As the partial rocks back and forth, it can loosen the teeth if it depends on them for anchorage, causing them to be lost.

Implants replace the entire tooth and the missing root so it is a free- standing restoration. This leaves more of your natural teeth untouched and free of restorations, which save your natural teeth.

Better health and nutrition, because you can eat what you want. Patients with dentures often find themselves unable to eat certain foods, such as fruits and vegetables, which can compromise their nutrition. With dental implants, it is much easier to bite into and chew your favourite foods which is good for your body.

Ease of cleansing. An implant supported crown can be cleaned like your other natural teeth, i.e. brushing and flossing. Cleaning under a bridge, however, requires the use of floss threaders for proper cleaning, while a partial denture must be taken out several times a day and scrubbed clean.

Enjoy your food. Patients who wear an upper denture often have trouble really tasting food because the roof of the mouth is covered. With implant supported replacement teeth, it is not necessary to cover the roof of the mouth, so it is possible to enjoy the taste of all your favourite foods.

Eliminates the pain of ill-fitting dentures. Loose fitting dentures can be securely fastened using dental implants. This avoids embarrassing slippage of them and removes the need for denture fixatives.

Before After

FAQs

What are dental implants?

Dental implants are small titanium posts that are placed into the jawbone to act as artificial tooth roots. Once the implant has healed and bonded with the bone, a custom-made crown is placed on top to replace the missing tooth and restore your smile.

Why should missing teeth be replaced?

Missing teeth should be replaced for both aesthetic and functional reasons. Gaps can affect the way you chew, speak and smile, and may also lead to bone loss or shifting of neighbouring teeth over time.

What are the benefits of dental implants?

Dental implants look, feel and function like natural teeth. They provide a long-term solution for missing teeth, help preserve the jawbone, protect neighbouring teeth and allow you to eat, speak and smile with confidence.

Can dental implants be used to secure dentures?

Yes. Dental implants can be used to stabilise loose or uncomfortable dentures. Implant-supported dentures are much more secure, helping to prevent movement, sore spots and embarrassing denture slippage.

Can implants be placed on the same day as a tooth extraction?

In many cases, an implant can be placed on the same day a tooth is removed. A temporary restoration may also be fitted so you do not need to wear a removable tooth replacement while the implant heals.

Call us today for appointments & consultations

Reach out now and take the first step toward a healthier smile.

Treatments

See below for more details about our range of treatments.

Tooth Whitening

A whiter, brighter smile can enhance your appearance and boost your confidence. Professional tooth whitening is a safe and effective way to remove stains and restore the natural brightness of your teeth.

White Fillings

Tooth-coloured fillings are designed to restore strength and function while blending naturally with your teeth. They provide a durable, aesthetic alternative to traditional metal fillings.

Porcelain Veneers

Porcelain veneers are thin, custom-made shells bonded to the front of your teeth. They can enhance shape, colour and symmetry to create a beautifully natural-looking smile.

Orthodontics & Orthopaedics

Modern orthodontic treatment can gently guide teeth and jaw development to improve alignment, function and appearance. The result is a straighter smile and greater long-term oral health.

Implants

Dental implants are a reliable and long-lasting solution for replacing missing teeth. They restore function and appearance while helping to preserve bone and protect surrounding teeth.

Crowns & Bridges

Crowns and bridges are used to restore damaged or missing teeth. They strengthen your bite, protect weakened teeth and blend seamlessly with your natural smile.