Treatments
Everyday more and more people choose to improve the look, feel and function of their smile. At The Smile Zone our goal is to give you the smile of your dreams.
We listen carefully to your aspirations and devise treatment options to match. From simple tooth whitening to a full smile makeover using porcelain laminate veneers – the choice will be yours.
Read on to see to find out more about what we do.



Tooth Whitening
A whiter, brighter smile is beautiful - it can help you feel better about yourself and make a memorable impression.
Your lifestyle and the aging process can stain and darken your teeth. Many things we do on a regular basis can contribute to stained teeth, such as drinking coffee, tea, cola and red wine or smoking.
Whitening can get your smile looking its best. You should look for a whitening procedure that is:- Fast and convenient Long lasting Low sensitivity Proven to be safe and effective Performed by a Dental Professional.

At Home Whitening
There are several different ways that we can whiten your teeth. These are separated into external techniques (where gel is placed on the outside of the tooth) and internal techniques (where gel is placed inside the tooth).
External whitening - This means that the colour of the teeth is lightened by placing a gel on the outer surfaces of the teeth. Once again, using whitening gels in this way may not work for certain types of discolouration, such as that caused by metal fillings or damaged blood vessels inside a tooth. There are three ways to do whiten teeth.
"Home" whitening - this is similar to the over-the-counter kits, but with two main differences. Firstly, we make a custom trays so that they fit your teeth precisely, and secondly, the whitening gel is stronger so it tends to be more effective. We will give you tubes of whitening gel and instructions on how to use the trays. You will need to wear the trays for at least a few hours each day. It may take a few weeks to achieve the colour that you want.
In the dental surgery - "power" or "laser" whitening. Your dentist may put a rubber seal around your teeth to protect your gums. Then gel is placed onto your teeth and a special, bright light is used. This light enhances the whitening process. The appointment may take approximately one hour.
Combined bleaching - this may also be known as "power" whitening - both the home and surgery whitening are used in combination to obtain the desired result. The home whitening stage may occur before or after surgery treatment - this depends on the type of product used.
White Fillings
Dr Daniel and the team at The Smile Zone only use white fillings
White fillings are fillings for teeth that look natural and discreet.
Given the opportunity to make a fully informed choice, our experience is that the vast majority of today’s dental patients will choose tooth coloured fillings.
Since they bond to the tooth, tooth-coloured fillings restore more of the original strength of the tooth. Silver weakens the teeth, making them more susceptible of breaking.
Tooth coloured fillings restore the natural appearance of the tooth and are mercury free as mercury is viewed by some as being toxic.
Tooth coloured fillings require less removal of tooth structure, especially with new cavities, as the size of the hole made for the filling can be dramatically smaller with tooth coloured fillings. For these reasons at The Smile Zone, we ONLY place white fillings.
Before After

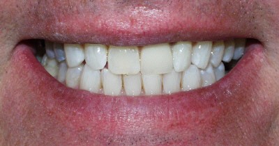
Porcelain Veneers
A veneer is a thin layer of porcelain that we will bond to your tooth to give it a whole new appearance.
They are the most elegant and versatile way to improve your smile producing a natural result with both strength and beauty.
They can change the colour, spacing, alignment, length or shape of your teeth and are commonly used for a smile makeover.
At The Smile Zone we use the U.K's best dental lab technicians to make your veneers.
Below are some examples of our smile transformations using porcelain veneers at The Smile Zone.
BEFORE AFTER

BEFORE AFTER

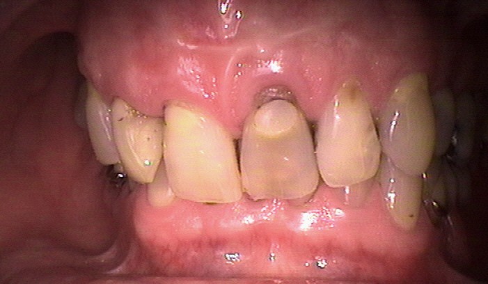
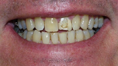
Crowns & Bridges
A crown (often called a cap) is needed when a tooth is badly broken down, either a cusp has broken off, or there are large old fillings or a large portion of decay.
With older methods, crowns always needed to be made with a metal foundation. This has left many people with dark lines around their crowns. Today we can make them out of pure porcelain, ceramic or aesthetic reinforced resins that blend beautifully with the existing tooth and surrounding gum.
Below are some examples of makeovers at The Smile Zone
Old Crowns New crowns
Full mouth makeover with crowns and bridges


Before After


There are still occasions, usually in relation to the back teeth when the durability of a metal crown makes it the restoration of choice. But for crowns that show, wouldn’t you rather have one that looks as natural as possible?
Orthodontics & Orthopaedics
Dr Daniel performs adult orthodontics and uses a combination of orthopaedic and orthodontic methodology to achieve not only straighter teeth but fuller more confident smiles and all within a very short time .

Before After 6 months treatment
At The SmileZone we use clear aligners that are 'invisible' to straighten teeth as well as clear braces for discreet but effective treatment for adults . We are always aiming to provide a beautiful cosmetic but functional and long lasting smile.
Implants
People lose teeth all the time, either through trauma when teeth are knocked out or due to decay, gum disease or old age. Whatever the reason for loosing your teeth they need to be replaced both for aesthetic and functional reasons. Dental implants are now becoming the preferred option to replace missing teeth as they provide a longer- term solution, slow down bone loss and preserve nearby healthy tooth tissue. Dental implants are also commonly used to securely fix a denture in place, avoiding embarrassing denture slippage or denture fixatives.

What are implants?
An Introduction to Implants
Dental implants are screw-shaped or cylindrical root-form titanium posts that act as artificial tooth roots. These are carefully placed in the jawbone and allowed to heal. During the healing phase, your bone is growing right up to the implant surface in order to lock it in place.
Shortly thereafter, a crown is made to fit on top of the implant so as to replace a missing tooth or teeth with a "brand-new" tooth. In many cases, you can be functioning on your "new" tooth on the same day as your surgery!
Dental implant treatment is the preferred method of tooth replacement. These implants replace missing tooth roots, and form a stable foundation for replacement teeth that look, feel and function like your natural teeth. Dental implants also preserve the remaining bone by providing the stimulation previously provided by the natural tooth roots.
Dental implants offer several advantages to the patient. Unlike traditional false teeth, it isn’t necessary to grind down the adjacent teeth for a bridge or secure a partial denture to adjacent teeth with clasps.
In addition to supporting crowns and bridges, implants can also be used to secure poorly fitting dentures. By using dental implants we can eliminate the problems associated with traditional dentures. These include looseness, sore spots, trapped food and embarrassing denture slippage. In addition the biting force is increased in a more natural bite.
Read our curent NEWS on missing teeth and implants
Immediate Loading Implants
In many cases we are able to place a dental implant on the day of the extraction of your tooth and fabricate an immediate temporary restoration so that you do not have to wear a removable restoration during the healing period of three to four months. We can use the existing crown or make a matrix in order to fabricate a composite restoration which we place on a temporary post. After the implant integrates (heals) the temporary restoration is removed and an impression is made. By supporting the gums during healing, the aesthetics of the final restoration is more predictable.
If we are unable to complete this other options include using a temporary “sticky” bridge or an invisible mouthguard that contains the missing teeth.
Benefits of Dental Implants
What are the benefits of dental implants?
They look and feel just like your own teeth. Dental implants restore your confidence to talk, laugh, and chew with comfort and without worries.
Implants preserve the integrity of facial structures. Implants prevent the hard and soft tissue collapse that can occur under conventional bridges and removable partial dentures. In patients who have lost all of their teeth, the lower one-third of the face is prone to collapse if implants are not placed to preserve the bone and the facial profile. Implants form a strong bond to the surrounding bone to provide support and anchorage for biting and chewing as well as stimulation for the bone to hold it in place.
Implant-supported crowns and bridges do not require neighbouring teeth for support. When teeth are replaced using traditional tooth-supported bridges, the teeth on either side of the missing tooth are ground down so that the bridge can be cemented onto them (Click on figure at left). This tooth structure can never be replaced. Removable partial dentures use clasps and rests which have to be carved onto adjacent teeth. As the partial rocks back and forth, it can loosen the teeth it depends on for anchorage, causing them to be lost.
Implants replace the entire tooth and the missing root so it is a free- standing restoration. This leaves more of your natural teeth untouched and free of restorations which save your natural teeth.
Better health and nutrition because you can eat what you want. Patients with dentures often find themselves unable to eat certain foods, such as fruits and vegetables, which can compromise their nutrition. With dental implants, it is much easier to bite into and chew your favourite foods.
Ease of cleansing. An implant supported crown can be cleaned like your other natural teeth, i.e. brushing and flossing. Cleaning under a bridge, however, requires the use of floss threaders for proper cleaning, while a partial denture must be taken out several times a day and scrubbed clean.
Enjoy your food. Patients who wear an upper denture often have trouble really tasting food because the roof of the mouth is covered. With implant supported replacement teeth, it is not necessary to cover the roof of the mouth, so it is possible to enjoy the taste of all your favourite foods.
Eliminates the pain of ill-fitting dentures. Loose fitting dentures can be securely fastened using dental implants. This avoids embarrassing slippage of them and removes the need for denture fixatives.
Go to the News and read more...........
Bone & Sinus Grafting
Bone Grafting
This procedure involves the use of bone (obtained from a bone bank), the patient’s own bone, or a synthetic source of bone to help build up lost bone due to periodontal disease or trauma. This bone acts only as a scaffold for the newly developing patient’s bone. It is used extensively with dental implant procedures to ensure a good functional and cosmetic result. Often times, a special membrane may be used to protect the bone graft and encourage bone regeneration. Bone grafting can repair implant sites with inadequate bone structure due to previous extractions, gum disease or injuries.
Sinus Grafting
The maxillary sinuses are behind your cheeks and on top of the upper teeth. Sinuses are like empty rooms that have nothing in them. Some of the roots of the natural upper teeth extend up into the maxillary sinuses. When these upper teeth are removed, there is often just a thin wall of bone separating the maxillary sinus and the mouth. Dental implants need bone to hold them in place. When the sinus wall is very thin, it is impossible to place dental implants in this bone.
There is a solution: it’s called a sinus graft or sinus lift. The sinus membrane is carefully lifted upward and donor bone is inserted into the floor of the sinus. After a few months the bone becomes part of the patients jaw and dental implants can be placed in the newly grown bone
The sinus graft makes it possible for many patients to have dental implants when years ago there was no other option other than wearing loose dentures.
Lateral sinus lift procedure
As a general rule if there is less than 5mm of bone we will perform a sinus graft using the lateral window technique. This involves gaining access to the sinus, elevating the sinus membrane and carefully placing the donor bone to the space created. Several months of healing are necessary before implants are placed. Most patients do not experience any disruption in their daily life.
Inferior sinus lift
If enough bone is present between the upper jaw ridge and the bottom of the sinus to stabilise an implant, sinus augmentation and implant placement can sometimes be preformed as a single procedure.
In this case there is more than 5mm, which usually allows us to perform a sinus lift. Using Osteotomes, the membrane is moved which allows simultaneous placement of the implants. These implants can be restored after an osseous integration period of approximately 4 months.
Ridge Augementation
Once teeth are lost the supporting jawbone will sometimes begin to degenerate causing a narrowing of the jaw ridge in both horiziontal and vertical directions. Ridge deformities of the upper and lower jaw can leave you with inadequate bone and tissue thickness for either an aesthetic and functional bridge or dental implant tooth replacement.

To enhance the cleansability and aesthetic appearance of the final result an alveolar ridge augmentation may be recommended. This will increase your chance for long-term successful dental implants or bridges.
Procedure
Soft tissue ridge augmentations are performed to enhance the cleansability and aesthetics of a deficient site prior to its final restoration. During this procedure, the bony ridge is exposed, and a soft tissue graft is then obtained either from a suitable site in your mouth and/or a soft tissue substitute and inserted into the area. The gum tissue is readapted over the soft tissue graft and stitched into place.
Hard tissue ridge augmentations are performed to recreate adequate bone dimensions prior to dental implant or fixed bridge therapy. The hard tissue augmentation can also be done in combination with a soft tissue augmentation to simultaneously enhance the soft tissue profile of the deficient site. A bone replacement and a membrane may be adapted over the treated area based on individual defect morphology. In some cases, a simultaneous approach to the ridge augmentation allows the implant to be placed at the same time the hard tissue or soft tissue ridge augmentation is performed. In most cases, a significant healing and maturation time is required prior to completing the final tooth replacement.
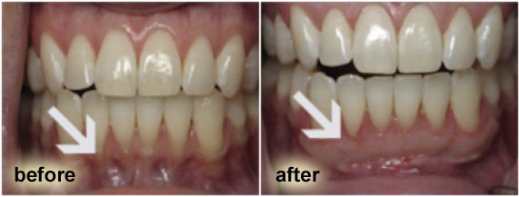
Gum Treatments
At The Smile Zone we provide a range of gum treatments from all forms of gum disease to cosmetic gum lifts. Many patients presenting with gum recession can be easily treated with some simple gum grafts.
Case 1: Cosmetic crown lengthening (gum lift)
Laser gum remodelling is a painless and simple technique that can be used to address a low or uneven gum line by reshaping and corrected the tissue. The treatment works by removing excess gum tissue, sealing the gum as treatment progresses so no stitches are required.
Dramatic results revealing more teeth than gum for an instant smile lift can be achieved relatively painlessly in a short period of time.
Used in conjunction with porcelain veneers, gum reshaping is an ideal treatment choice to correct small, crooked or misshapen teeth to create a beautiful and balanced smile.
Example - Gum recontouring with 10 upper porcelain restorations.

Root coverage procedures
Soft tissue grafting procedures are an important component of cosmetic and functional periodontal therapy. Patients are often concerned about exposed tooth roots that may be highly sensitive or unsightly. These procedures are utilized to correct receding gums. The goals of these procedures include the following:

- To regenerate normal, healthy gum tissues over unaesthetic or sensitive tooth roots
- To prevent dental root decay from developing on exposed tooth roots
- To enhance the cosmetic results of dental implants, crowns and bridges
- To prevent further gum recession, bone loss and inflammation

What happens during a root coverage procedure?
Gum tissues from the roof of your mouth or other materials are used to gain coverage of the exposed root. Root coverage techniques may be used to cover one tooth or several teeth to reduce sensitivity and/or even your gum line.

What are the causes of root exposure?
- Brushing with a medium or hard brush
- The path the tooth erupts can make you more susceptible
- Tooth drifting or orthodontic movement can contribute to gum recession
- Genetics, some people have thin gums
- Bone loss around teeth can lead to gum recession
- Why should I have a root coverage procedure?
- To develop gum tissue where there is excessive recession and reduce the likelihood of tooth loss.
- To improve oral cosmetics by evening the gum line
- To cover exposed roots to protect them from decay
- To prepare teeth for braces
- To prevent further gum recession, bone loss and inflammation
Dr. Daniel will perform a thorough examination and carefully explain the procedure at length during your consultation appointment.
Types of Gum Disease
Untreated gingivitis can advance to periodontitis and eventually lead to tooth loss and other health problems.
Periodontal (gum) diseases, including gingivitis and periodontitis, are serious infections that, left untreated, can lead to tooth loss.
The word periodontal literally means "around the tooth." Periodontal disease is a chronic bacterial infection that affects the gums and bone supporting the teeth. Periodontal disease can affect one tooth or many teeth. It begins when the bacteria in plaque (the sticky, colourless film that constantly forms on your teeth) causes the gums to become inflamed.
Gingivitis
Gingivitis is the mildest form of periodontal disease. It causes the gums to become red, swollen, and bleed easily. There is usually little or no discomfort at this stage. Gingivitis is often caused by inadequate oral hygiene. Gingivitis is reversible with professional treatment and good oral home care.
Periodontitis
Untreated gingivitis can advance to periodontitis. With time, plaque can spread and grow below the gum line. Toxins produced by the bacteria in plaque irritate the gums. The toxins stimulate a chronic inflammatory response in which the body in essence turns on itself, and the tissues and bone that support the teeth are broken down and destroyed. Gums separate from the teeth, forming pockets (spaces between the teeth and gums) that become infected. As the disease progresses, the pockets deepen and more gum tissue and bone are destroyed. Often, this destructive process has very mild symptoms. Eventually, teeth can become loose and may have to be removed.
There are many forms of periodontitis. The most common ones include the following.
- Aggressive periodontitis occurs in patients who are otherwise clinically healthy. Common features include rapid attachment loss and bone destruction and familial aggregation.
- Chronic periodontitis results in inflammation within the supporting tissues of the teeth, progressive attachment and bone loss. This is the most frequently occurring form of periodontitis and is characterized by pocket formation and/or recession of the gingiva. It is prevalent in adults, but can occur at any age. Progression of attachment loss usually occurs slowly, but periods of rapid progression can occur.
-
Periodontitis as a manifestation of systemic diseases often begins at a young age. Systemic conditions such as heart disease, respiratory disease, and diabetes are associated with this form of periodontitis.
Periodontal Disease
What is periodontal disease?
Periodontal or gum disease is an infection affecting the tissues surrounding the teeth. These tissues include the gums and bone supporting the teeth. Periodontal disease is usually a slow, painless, progressive condition. Most adults with this disease are unaware they have it but if diagnosed and treated early the teeth can be saved.
In it’s early stages it affects the gum only and is called gingivitis, this is reversible but if it progresses it begins to attack the bone which holds the tooth in it’s socket and is called periodontitis. This can be treated to stop further bone loss but if left untreated can result in loss of the tooth.
What causes periodontal disease?
The main cause of periodontal disease is plaque. This is a white mass of bacteria which adheres to teeth, crowns, bridges, dentures and soft tissues. When plaque is not removed it irritates the gums causing them to become red, tender and bleed easily. Over time it hardens and is then known as tartar which requires removal by professional intervention. The constant irritation from tartar results in gums becoming detached from the roots allowing ‘pockets’ to form around the teeth. Bacteria in these pockets begin to destroy bone that holds the tooth in place which may result in the tooth becoming loose and eventually lost.
The main cause of plaque accumulation is poor oral hygiene and inadequate tooth brushing technique. Other plaque retaining factors that exacerbate the condition are: Badly designed dentures (false teeth). These can attract plaque and may lead to further bone loss Faulty restorations e.g. fillings with ledges that act as a plaque trap Tooth decay Crowded teeth. Poorly contoured crowns will act as a plaque trap Tobacco smoking. Oral hygiene appears to be worse in smokers compared to non-smokers. A study of periodontal disease in women smokers of 20-29 years old and non smokers of 30-59 years show a level of about twice that found in non smokers Food packing between teeth Orthodontic appliances (braces) Grooves on root surfaces Loose teeth can accumulate plaque and make the periodontal condition worse. Loose teeth may require extraction in order to save other teeth There are also a number of host factors that can worsen periodontal disease such as diabetes mellitus, puberty, pregnancy, and menopause. The underlying cause is still plaque but these conditions can worsen your periodontal condition
What are the signs and symptoms of periodontal disease? Do your gums bleed when you brush or floss your teeth? Are your gums swollen, red or tender? Does pus appear when you press your gums? Do your teeth seem to be getting longer? Can you wiggle one or more of your teeth with your tongue or finger? Are there spaces between your teeth that have not always been there? Do you have bad breath or a bad taste in your mouth? Has there been a change in how your partial denture fits?
Treating Gum Disease
How is periodontal disease measured? Get gif from webpage Periodontal disease is measured using a periodontal probe. This is a blunt ended instrument used to assess the depth and width of any pockets between your gum and tooth. Periodontal disease is diagnosed if:
1. Pockets are 5mm or deeper.
2. Pockets bleed during careful assessment.
This is a sign of active infection.
How is periodontal disease treated?
Treatment of gingivitis is usually completed by scaling your teeth, oral hygiene advice and tooth brushing instructions. Regular appointments to ensure effective plaque removal and healthy gums will follow this appointment. These appointments are typically between 2-6 months apart and are usually one hour in length.
Once periodontitis has begun to progress the treatment is as follows: Full mouth root planing and removal of plaque retaining factors. This involves scaling the roots of all your teeth, usually completed using local anaesthetic. Dr Daniel may also decide to use antibiotics in any infected pockets at this stage.
Any obvious plaque retaining factors are removed to allow easier plaque removal. Tooth brushing instruction and interdental cleaning are demonstrated. This usually involves 4-5 visits with us.
After full mouth root planning your teeth and gums are reassessed six weeks after full mouth root planing. If there is any persistent bleeding, either with tooth brushing or probing, or any pockets 5mm or deeper, further treatment will be recommended.
If the results are satisfactory you will then enter a hygiene maintenance programme. This involves 2-3 monthly appointments with us.
Every year a very detailed assessment is made of your remaining teeth and gums both clinically and radiographically. This appointment will also be an opportunity to discuss any future treatment with us. Further treatment for more severe cases can include:
- Antimicrobials- Antibiotic gel can be inserted into deep pockets
- Surgery- Gum removal to reduce pocket depths
- Extractions- Removal of infected teeth
- Dental implants- Replace missing teeth and dentures
Tooth Loss
Teeth are lost for many reasons, including gum disease, cavities, cracked roots and even accidents. When a tooth is lost, the bone that previously surrounded the tooth root deteriorates. Missing teeth can compromise your eating habits, speech and appearance.
Tooth loss in the front of your mouth can result in visible bone defect that is difficult to disguise, affecting the appearance of your smile. Over time missing teeth in the back of your mouth may lead to the collapse of your bite. This affects the appearance of your face, your ability to eat and even the health of your remaining teeth. We always recommend and try to find a customised solution to replace missing teeth with bridges, implants or denture/s.
Dentures
Imagine Only You & Your Dentist Know You Wear Dentures!
As general health improves, more patients feel embarrassed about wearing dentures and wish to keep the fact a secret. Often the dentures that are chosen are too light a tooth shade for the patient’s age, are too small for their face or are set up in an unnatural alignment.
Another giveaway are those teeth that look artificial or dead through either a lack of translucency, lack of colour change or with the absence of small imperfections. Even if the teeth are set up correctly, often the gum can look artificial as natural gum is not uniform in colour.
These factors can make denture wearers’ feel unattractive. They lose confidence and smile and laugh less with friends, family and work colleagues: for instance many cover their mouths with a hand while talking or smiling. This is why lifelike denture teeth and gums, personalised tooth positioning and the resulting improved lip support are all essential for improved denture appearance.

