01304 201 338
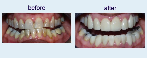
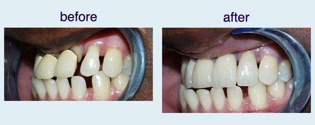
Have a look at some of our recent work, or have a look at some of the smiles on our happy customers!